Skip to main content
Bridges
A healthy, beautiful smile starts here

Bridges | Dentist
Improve your smile today – call to schedule a consultation!
Claim Now!

Bridges

Missing teeth are more than just a cosmetic problem. Gaps in your smile make it difficult to eat all the foods you enjoy and may also affect your ability to speak easily.

Dental bridges have been used to replace teeth for many years with great long-term success. This type of restoration restores function, stabilizes surrounding teeth, and improves your oral health.

Expertly Crafted Dental Restorations

Dr. Thai is committed to helping you find treatments that resolve your oral health problems in the most conservative, cost-effective way possible. He takes pride in creating beautiful, durable restorations that address all your needs, including your preferences and budget. We make recommendations and provide the information you need, but the final decision about the direction of your treatment is always up to you.

Losing a tooth impacts your appearance and lifestyle, but that’s not the only problem. Your teeth are all designed to work together, and each has its own important function. When you lose a tooth, nearby teeth are subject to additional stress. This puts them at risk for excess wear and increases the potential for chips and fractures.

The space left by a missing tooth can also cause neighboring teeth to move out of their proper position and drift into the empty space. This movement can lead to a number of other oral health problems:

  • Premature wearing of teeth
  • Fracture and chipping of teeth
  • Teeth grinding
  • Severely misaligned dental bite
  • Temporomandibular joint disorder
  • Bone loss and gum disease

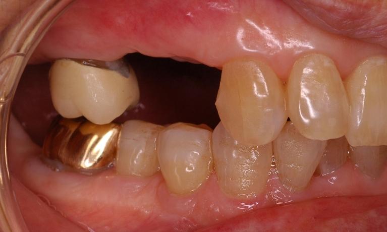
Fixed Dental Bridges

A fixed bridge is made up of three or more pieces – two dental crowns secured to neighboring teeth and a replacement tooth that fills the empty space. It is also referred to as a “fixed bridge” when it is cemented in place.

We want you to have options, and we offer different types of material to create your new bridge. Which type we choose depends on your preference and requirements for strength, wear, and esthetics. Depending on your needs, Dr. Thai may recommend an implant-supported bridge for optimal stability.

Trust Experience for Exceptional Results

Dr. Thai takes great pride in creating beautiful, durable restorations. He is committed to staying current with the latest dental materials and techniques to bring you the high quality care you deserve.

Our team knows how to work together to make sure that every detail of your visit is perfect. Your concerns are important to us, and we will provide the information you need to feel comfortable with the decisions you make about your dental care.

We all want a beautiful, healthy smile that makes us feel good about the way we look. If your teeth are missing or damaged, your self-esteem and your dental health are both compromised.

Please contact our Arcadia dental office so that we can arrange a consultation with Dr. Thai to discuss your options. We’ll get you back on the road to achieving the beautiful smile you deserve!

Meet Our Doctor:

Dr. Julie Whang, DDS, MS

Dr. Julie Whang is a graduate of the University of Southern California Dental School, where she earned her Doctor of Dental Surgery degree.  She received her orthodontic training at the University of California Los Angeles Dental School and also holds a Masters degree in Oral Biology from UCLA. Dr. Whang's goal is to continually advance her knowledge in this area by attending annual orthodontic meetings and pursuing continuing education.

“Correcting a patient’s dental occlusion and giving him or her a bite and smile that improves their oral health is the obvious ...

Getting an appointment is fast and easy!
Get Started!