Arcadia Dental Designs (formerly Arcadia Dentaldontics)

Smile Gallery: Orthodontics

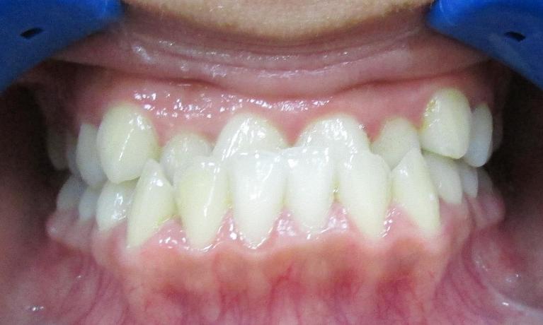
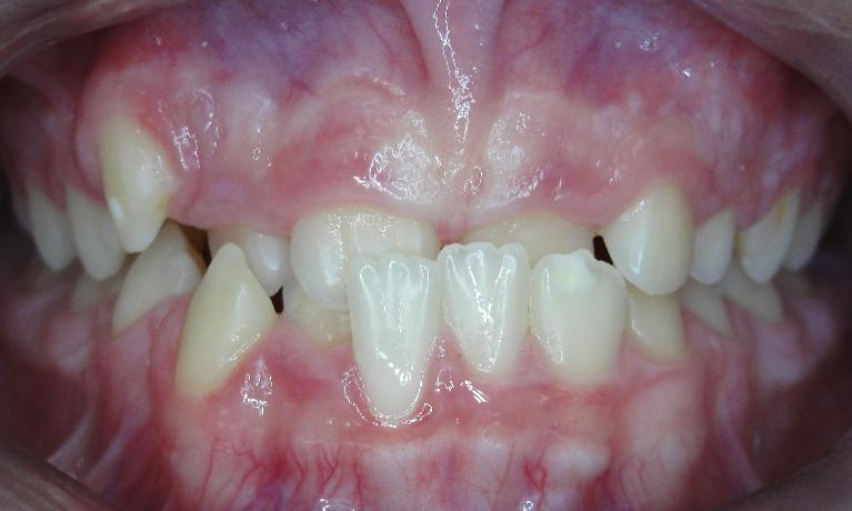
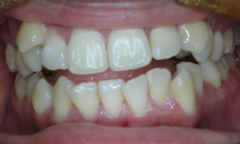
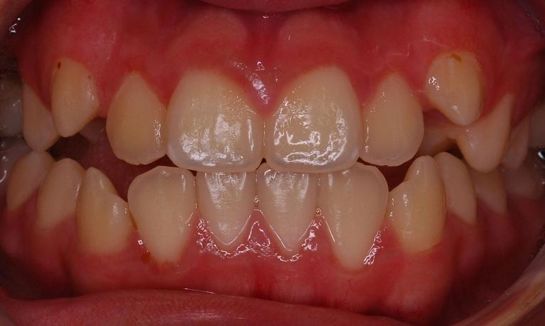
Are you considering a smile makeover and wonder about the results you can expect to see? We can tell you that you will look and feel better – maybe better than you have in years! We’ve helped many patients achieve their dream smiles, and we’ve shared some of their before and after photos here. Please take a look and see the type of dramatic transformations we can help you achieve.

All Cases Shown Below Were Done By The Doctors At Arcadia Dentaldontics Family Dentistry & Orthodontics!

 

Ready to book an appointment?
Highly Recommended!

Arcadia Dentaldontics is the best! Between acting, martial arts, and wrestling I have a variety of dental needs and Dr. Thai and Dr. Whang do a stellar job of catering to all
of them! The doctors and their friendly staff truly care for each of their patients which makes going to the dentist a much more hospitable and enjoyable experience than
anywhere else than I have ever been. I highly recommend joining the Arcadia Dentaldontics family!

If you have difficulty using our website, please email us or call us at (626) 540-2899
View the ADA Accessibility Statement